愛知県日進市浅田平子2-265
もり歯科医院
インプラント

当院ではより精密で円滑な安心のインプラント治療をご提供するため、『CEREC meets GALILEOS』という画期的な最新インプラント治療システムを導入しています。
このシステムにより、CTの画像データとCAD/CAM装置のデジタルデータを用いて、インプラント埋入の治療計画から上部の人工歯の設計・配置などシームレスに連動して治療に必要なデータを収集し、より精度の高い安心確実なインプラント治療をご提供することが可能です。
インプラント治療の流れ
画像解析

CT装置ガリレオスによりお口の状態を撮影します。顎骨形態、骨質を3次元で解析し、数値と画像で精確な情報を把握します。セレックシステムのプライムスキャンにより歯列データをスキャニングします。
治療計画

ガリレオスとセレックから得らえれたデータを元にシミュレーションソフトでインプラントのプランニングを行います。実際の手術をアクティブに再現します。審美・機能回復を入念にシミュレートしていきます。
インプラント埋入を正確に行うために必要なサージカルガイドをセレックにより作成します。全てデジタルデータによる移行と院内での作成が可能なため、正確性はもちろん、時間やコストを削減することができます。
手術

納得のインフォームド・コンセント、手術内容を患者様に説明して納得していただき、確信を持った完璧に近い手術をします。

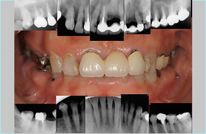
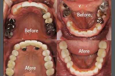
術前/術後



インプラントQ&A
骨の成長が終わる最低16歳以上の方で医学的に問題がなければ、 治療を受けることができます。
問題がなければ、半永久的に機能します。ただし、歯槽膿漏のような状態になった 場合、骨が痩せてしまうためにぐらついたりするようになります。 長持ちさせるには、歯磨き、P.M.T.C、定期検診をお勧めいたします。
文献報告では、8年間に90%以上が問題なく機能しています。
かたいものでも、ほとんどのものがしっかりと噛めます。 以前の自分の歯以上かもしれません。
