愛知県日進市浅田平子2-265
もり歯科医院
歯周病治療

歯周病とは
歯周病とは歯の周りの歯ぐき(歯肉)や、歯を支える骨などが破壊される病気で、かつては歯槽膿漏と言われていました。
歯と歯ぐきの境目(歯周ポケット)に細菌が入り、歯肉が炎症を起こし赤く腫れて、ブラッシング時に出血します。 しかし、痛みは全くありません。さらに進行すると、歯肉の中にある歯を支えている骨(歯槽骨)が溶けて、膿が出たり歯がグラグラしてきます。
この時期になると、やっと痛みや腫れをともないます。そして、最後には歯が抜けてしまいます。
歯周病の症状

上記のような症状が1つでもある人は程度の差はあれ歯周病かもしれません。
検査を受けましょう。
歯周病になる原因

口の中にはおよそ400種類の細菌が住んでいます。これらは普段あまり悪いことをしませんが、ブラッシングが十分でなかったり、砂糖を過剰に摂取すると細菌がネバネバした物質を作り出し、歯の表面にくっつきます。
これを歯垢と言います。歯垢1mgのなかには10億個の細菌が住み着いているといわれ、むし歯や歯周病をひき起こします。

その中で歯周病をひき起こす細菌はポルフィロモナス・ジンジバリス、プレボテーラ・インターメディア、アクチノバシラス・アクチノマイセテムコミタンスなど10修類以上がわかっています。
又歯垢は粘着性が強くうがいをした程度では落ちません。この歯垢の中の細菌が歯肉に炎症をひき起こしやがては歯を支えている骨を溶かすのです。
さらに、歯垢は取り除かなければ硬くなり、歯石と言われる物質に変化し歯の表面に強固に付着します。その中や周りにさらに細菌が入り込み、毒素を出し続けるのです。これはもはやブラッシングなどでは取り除くことは出来ません。
以下も歯周病を進行させる因子となります。
歯周病が全身に及ぼす影響

最近になってプラークの病原性細菌は口の中で悪さを働くばかりでなく、増えてくると唾液や血液の中に入りこんで体のあちこちに飛び火し、 全身に深刻な影響を及ぼしかねないことがわかってきました。
高齢者に多い嚥下性肺炎、敗血症、心内膜炎、早産、低体重児出産などとの関連性が指摘されています。
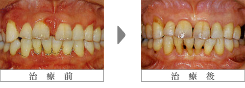
歯周病の治療
まず、綿密な診療を行い病気の実態を調べます。原因を明確にした後、治療に移ります。
治療の内容は症状や進行の過程により決められますが、通常は下記のような治療が行われます。
治療の内容

治療後のメンテナンス
再発の防止や進行の予防には生活習慣の改善が重要です。指導や注意を守って再発を防ぎましょう。 特にブラッシングは重要で効果的におこなっていくと、かなり重度の歯周病でも溶けていた歯槽骨や歯根膜が次第に治ってきて、 グラグラだった歯の揺れが少なくなり、噛み合せも整ってきます。

ブラッシングの場所

歯ブラシの毛先が当たって今ければ、プラークはとれません。自分では磨いているつもりなのに磨けていない人のほとんどが、磨きたい所に毛先を当てられない状況です。
ブラッシングの順序
磨く順序の一例:一筆書きの要領で

ブラッシングのポイント
歯周病Q&A
今までと同じ生活習慣では治りません。 専門家による正しいブラッシング指導と定期的なクリーニングをお勧めします。
基本的には保険で治療が可能です。 徹底的に処置を行わなければならない症状等は保険外の治療が必要な 場合もあります。
若年性歯周炎と呼ばれる10代で罹ることもあります。若いからといって安心はできません。
歯周病は細菌感染です。幼い頃に親から口移しで食べ物を食べると歯周病菌も感染します。 また細菌に対する抵抗力は遺伝しますので、その可能性はあります。 しかし、プラークコントロールとメンテナンスをしっかり行えば、心配する必要はありません。
