愛知県日進市浅田平子2-265
もり歯科医院
矯正歯科

矯正治療は歯並びの不正や、かみ合わせを治療しますが、見かけをきれいにするだけでなく、成長期の子供であれば、適正な顎顔面の成長発育を促し、成人であれば、咬合崩壊の予防、改善を促す治療です。
歯を中心としたかみ合わせ、発音、咀嚼器官、機能の回復、顔の形態、コンプレックス等、全身の健康に影響を及ぼす治療分野でもあります。
かみ合わせの改善
良いかみ合わせは上下の歯が単に噛み合うだけでなく、顎の関節と調和して機能し、全身のバランスもとれている状態のことです。
かみ合わせに問題が生ずると、歯に悪い影響が現れるだけでなく、顔の歪み、顎関節炎などによる開口障害、偏頭痛、肩こり、耳鳴りなどの影響がでる場合もあります。


審美の改善
上顎前突(出っ歯)、下顎前突(受け口)や叢生(でこぼこの歯列)は笑った時の見た目はもちろん、口を閉じた顔貌の調和も乱れてしまいます。

インビザライン(床矯正)

マウスピース矯正(インビザライン)は、透明に近いマウスピース型の矯正装置(アライナー)を歯に装着して歯並びを矯正する、画期的な矯正方法です。
一人ひとりの歯に合わせて作製される矯正装置を装着し、治療の段階に合わせて新しい装置に交換しながら徐々に歯を動かし、歯並びを矯正します。 歯型、レントゲン写真、治療予測模型などから治療期間や治療結果を3Dコンピュータ画像によりシミュレーションし、治療を行っていきます。

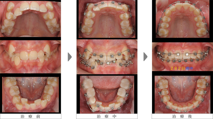
症 例
マルチブラケット装置

写真左列:上下叢生の患者様
写真中列:矯正装置装着直後
写真右列:治療開始後 約10ヶ月

急速拡大装置

写真左列:治療開始前の上下前歯部のスペース不足
写真中列:急速拡大装置装着直後
写真右列:保定期間を入れ7ヶ月後の拡大終了時
