愛知県日進市浅田平子2-265
もり歯科医院
審美歯科

審美歯科とは美しさに焦点をあてた歯科治療のことを指します。
従って歯並びを治す矯正歯科も大きく考えれば審美歯科に当てはまりますが、 一般的に呼ばれている審美歯科とは、 歯を白くしたい ・ 歯並びを美しくしたい ・ 詰め物や被せ物をより自然に見せたい という要望に対しての治療を審美歯科と呼びます。
これらの治療は基本的に自費診療になります。保険治療で使用する材料に比べて審美的・機能的にも向上するものを使用します。 数年前に保険治療で使用した金属の詰め物や時間の経過によって変色してしまったプラスチック製の被せ物が変色した為に、心理的コンプレックスをかかえている方もいらっしゃると思います。保険診療の際に使用する材料と比較して耐久性の向上も望めます。
セラミック修復
保険診療で使用されるプラスチック系の素材は吸水性が高いため変色はさけられません。それに比較しセラミック(陶材)は変色しません。
メタルボンド

メタルボンドは金属製の土台の上に、陶材を焼き付けた修復物です。陶材は非常に硬い反面、衝撃に弱い特性を持った素材です。
オールセラミック

土台もすべてセラミック製です。構造はメタルボンドと大差はありませんが土台をセラミックにすることにより、色の再現性や光の透過性などより審美的に天然歯に近づけることができます。強度は金属には及びませんが、 近年の歯科材料技術により噛みあう力にも耐えうる素材で作られています。

オールセラミッククラウン
土台も含めすべてセラミックで作ります。金属は光を遮断してしまいますが、オールセラミックなら自然な透過性をも再現することができます。

ラミネートべニア
ラミネートベニアは天然歯の表面を一層削り、薄いセラミックを貼り付ける治療です。歯の色が気になる、歯と歯の間の隙間が気になるなど、必要最小限の切削量で治療できることが特徴です。

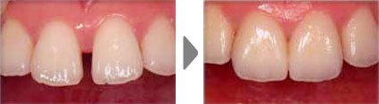
セラミックインレー
保険適応の金属インレーとの比較。残存する天然歯と修復物との見分けがつきません。
ハイブリッドレジンインレー

ハイブリッドは陶材とプラスチックの混合素材です。セラミックの衝撃に弱いという欠点をプラスチックで補っています。純粋なセラミックと比較すると審美性や着色に劣りますが、安価であることが特長です。奥歯などのインレー修復にお勧めいたします。
セレック(CAD/CAM オールセラミック)

セレックとはCAD/CAM(コンピュータ設計製造)応用のセラミック修復物を製作するシステムです。
ハンディータイプの光学カメラ『プライムスキャン』により口腔内をスキャニングします。
そのデータを用いてコンピュータ上で歯の形を設計し、専用のミリングマシーンでブロックから歯を削り出します。

製作工程をコンピュータで処理する事により、修復物完成までの時間を大幅に短縮する事ができます。また機械で削り出す事により、院内で修復物を完成できますので、コスト的にも安価に御提供する事ができます。


セレックは複雑な形体の削り出しは難しいというデメリットがあります。ですので症例によってはセレックでは治療できないケースもありますので御了承下さい。 また複雑な色調を表現する事が難しいことがあります。何種類かの色のブロックを用意していますので、かなりの色を合わすことができますが、歯は単調な一色ではありませんので症例や部位によっては技工師によるオールセラミックをお勧めします。
また折角の自費治療が審美的にスポイルされてしまいうことを防ぐために当院では、専用にセラミック焼成器を導入して、隣接する歯に色調が合うようにさらに審美を追求しています。
ホワイトニング
ホワイトニングは歯の漂白をします。一切削ることなく歯を白くできることが特徴です。ホワイトニングは歯科医院で処置するオフィスブリーチングとご自宅で行なうホームブリーチングがあります。先天性の変色した歯も白くすることができます。白さの度合いは個人差があります。
オフィスブリーチング

歯科医院で処置します。歯にブリーチングの薬剤と、歯肉に保護する薬剤を塗布して、光を当てて歯を漂白します。2、3回来院していただく必要がありますが、短期間での漂白が可能です。1歯からの処置もいたします。
ホームブリーチング

専用の歯に装着するトレーを作り、そこに薬剤を入れて2~3時間程トレーをはめて漂白します。2週間ほどで効果が現れます。時間はかかりますが、ご自宅でお手軽にでき、すべての歯を全体的に漂白することもできます。
症 例
ジルコニアブリッジ症例

写真上段左:外傷直後前歯2本の脱臼時
写真上段右:ブリッジ形成後
写真下段右:ジルコニアブリッジセット前
写真下段左:ジルコニアブリッジセット直後
インプラント・セラミック・ラミネートベニヤ症例

A. オールセラミッククラウン
B. インプラント
C. ラミネートベニヤ
メタルボンド症例

生体が望むままの真の姿を形に現し、同時に機能的なものであれば、生体は自然に健康的な歯ぐきを維持し続けるものです。
メタルボンド症例2

写真左:支台歯形成後
写真右:メタルボンド装着完了
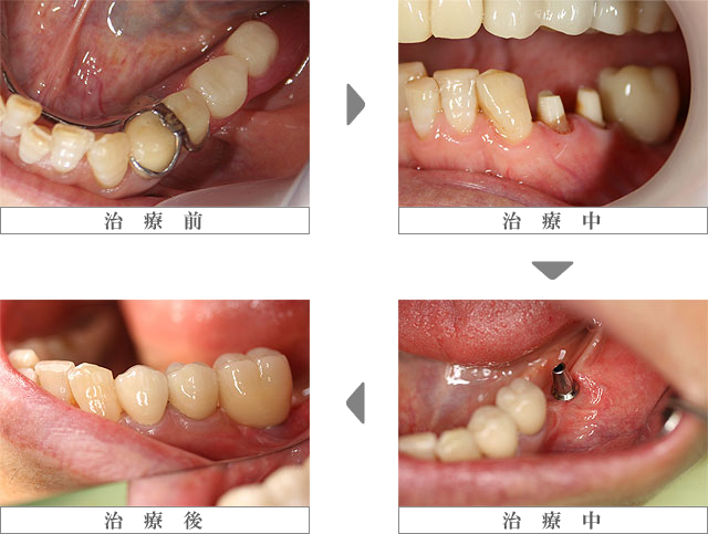
メタルボンド・インプラント症例

写真上段左:治療前の双歯鉤入れ歯。
写真上段右:奥(6番)インプラント、フィクスチャー(歯の根の部分)埋入、プロビショナル(仮歯)セット。4番・5番を支台歯形成。
写真下段右:インプラント、アバットメント(歯の支台歯部分)装着、4番・5番にメタルボンドをセット。
写真下段左:インプラント上部構造をセット。
メタルボンド・ホワイトニング症例

写真左:上顎右上2番の保険前装冠の色調と全体的な歯の色の改善を主訴。
写真中:ホワイトニング、支台歯形成後。
写真右:メタルボンドをセット。
オールセラミック症例

写真左:上顎3番支台歯形成後。
写真右:オールセラミッククラウン装着。併せて上顎4番オールセラミックインレー、5番がメタルボンド、下顎4番・5番をオールセラミックインレーにて修復
オールセラミッククラウン症例

写真上段左:上顎左2番支台歯形成。
写真上段右:ファイバーポストコア装着。
写真下段:オールセラミッククラウンセット。
セラミックインレー症例

写真左:下顎4番、5番形成。
写真右:セラミックインレーセット。
ハイブリッドレジンインレー症例

比較的大きなむし歯を保険診療で治療する場合は金属でのインレー修復となります。
ハイブリットインレーやセラミックインレーは「修復した歯」ということが判らな いくらい、残存する歯と良く馴染みます。
オフィスブリーチング症例

オフィスでの1回1時間程度のブリーチング処置を2度終えた直後の状態です。 歯を痛めることなく又痛みもなく白い歯が手に入ります。 昨今は差し歯を治す前に残った歯のブリーチングをされてから差し歯の治療を完成させていくことが多くなりました。
PGA(白金加金)クラウン症例

写真上段左:下顎左6番・右6番にPGA(白金加金)クラウンをご希望。
写真上段右:模型上のPGA(白金加金)クラウン。
写真下段:PGA(白金加金)クラウンを口腔内にセット。
審美歯科Q&A
残存するまわりの歯の色に合わせて作る、完全なオーダーメイドです。色合い、透明感など天然歯のように再現します。
使用するジェルの主要成分は過酸化尿素や過酸化水素です。 過酸化尿素を用いる歯のホワイトニングに関しては、多くの研究と臨床例が報告されているので、適切な指導のもとで使用すれば、歯や歯肉に悪影響を及ぼすこともなく安全です。
ホームでもオフィースでも必ずある一定の後戻りをします。天然歯も時間の経過とともに変色しています。その白さをなるべく長時間キープするためには、着色の恐れのある食品に気をつけたり、ホームホワイトニングの追加や短時間のレーザーホワイトニングの追加が必要です。
